病理組織標本作製
HE染色標本作製, 特殊染色標本作製, 免疫組織化学染色標本作製など, 病理組織標本作製受託サービスのご案内です。
ホルマリン等の固定臓器(サンプル)からの標本作製はもちろんのこと、凍結ブロックからの病理組織標本作製および免疫染色も可能です。
HE染色標本作製
見たい部分をピンポイントで標本作製する高い技術で、皆様の研究を強力にバックアップいたします。
基礎研究(リサーチ)の病理組織標本作製はもちろん、GLP試験および信頼性保証試験の病理組織標本作製まで、病理組織標本作製のことなら何でもご相談ください。

※写真はマウス甲状腺・副甲状腺(HE染色)
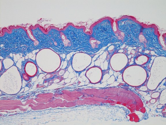
特殊染色標本作製
HE染色だけでなく、病理組織の染色方法は多彩です。当研究所では現在、40種類以上の特殊染色標本を作製することができます。
アポトーシス(TUNEL)染色や、ATPase染色の標本作製も受託可能です。

※写真はマウス皮膚(アザン染色)
免疫染色標本作製
今や組織病理の世界でも欠かせない存在となった免疫組織化学染色。
当研究所では、免疫染色がまだそれほど一般的ではなかった頃から試行を繰り返し、これまでに200種類以上の一次抗体で染色メソッドを確立しています。

※写真はヒト胃(アルシャンブルー・PAS染色 + Ki-67)
病理組織標本作製について
◎凍結組織ブロック(凍結切片)からの病理組織標本作製も受託いたしております。
◎未染標本作製(未染色標本作製)のみのオーダーも受託可能です。
◎陽性細胞カウントや陽性部面積計測などの画像解析(定量評価)も受託できます。
◎GLP複数場所試験(病理組織標本作製)に対応いたしております。
◎医薬品GLP, 医療機器GLP,再生医療等製品GLP,化学物質GLPの適合施設です。
◎標本作製の所要日数は概ね1〜2週間程度ですが、ご依頼の内容によって異なります。 詳細についてはご相談くださいませ。
お問い合わせ
病理組織検査や病理組織標本作製など、弊社の受託サービスに関してご不明な点がございましたら どうぞ お気軽にお問い合わせくださいませ。
E-mailはこちらをクリックしてください
